審美歯科症例集1
当院で治療された方々の症例を
各科目ごとにご紹介します。
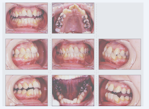
症例1
理学療法士 36才 女性
上下の歯並びを直したいというご希望で、来院。
術前と術後では、歯並び表情が変わった事はもちろんのこと、顔の形も変わり、「美容整形をしたように小顔になれました」と喜んでいただけました。




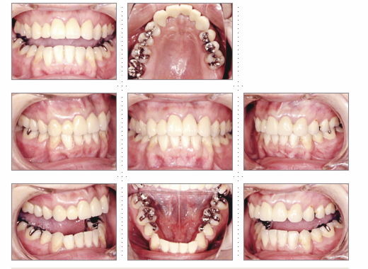
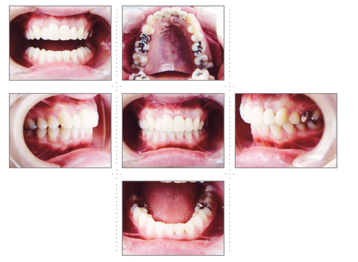
症例2
主婦 33才 女性
上下顎とも乳歯が残っており歯と歯の隙間が気になり、歯並びを奇麗にしたいとのご希望でした。
術後、家族や友人からもキレイになったと言われ、ご本人もご自分の歯のように気に入っていただけました。原因不明な頭痛もなくなり、快適な生活を送っていらっしゃいます。




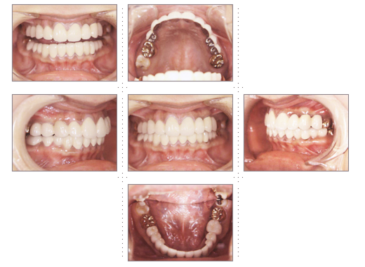
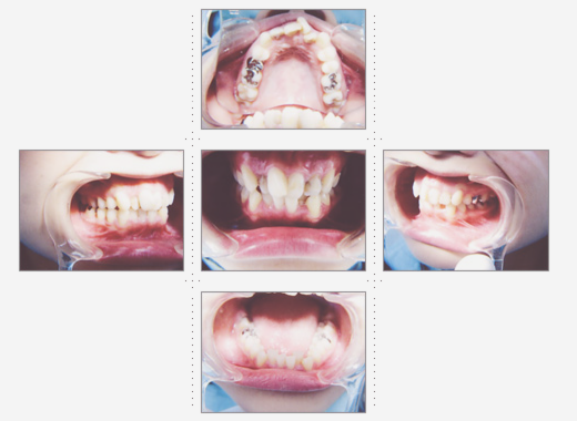
症例3
23才 女性
沖縄のリゾートホテルへ就職が内定している為、通院できるのは4ヶ月という条件で来院。
すべて、3ヶ月で完成し、出発されました。明るい笑顔で接客されていることと思います。




会社員 49才 男性
奥様から、ご主人の上顎前突(出っ歯)を直してほしいとご依頼がありました。
期間役1ヶ月で、出っ歯が改善されると、やさしい印象になりました。




症例3
主婦 56才 女性
入れ歯が合わず食事がうまくできないので、食べれるようになりたい。人前で堂々と話をしたり、笑ったりしたい、というご希望でした。
術後は、よく噛めるようになり、栄養のバランスがよくなり、肌にツヤとハリが出て、エステに通うより効果がありました、と喜んでいただきました。



