矯正歯科症例集4

症例 11

女性 9才 矯正期間 11ヶ月




症例 12

女性 15才 矯正期間 9ヶ月




症例 13

女性 11才 矯正期間 1年2ヶ月




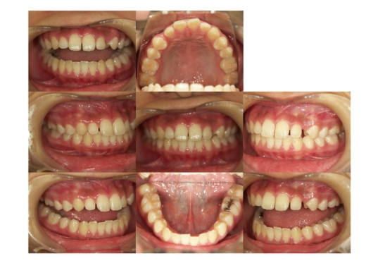
症例 14

男性 12才 期間5年




症例 15

女性 13才 矯正期間 1年6ヶ月

症例 16

女性 25才 矯正期間 11ヶ月

診療時間


月曜・火曜・金曜

午前 10:00~14:00
午後 16:00~20:00


水曜

午前 9:30~14:00


土曜

午前 9:00~13:00
午後 14:00~17:00


休診日:木曜・日曜