矯正歯科症例集 最新
患者さんの声
最初は歯周病と歯並びが気になって来院しました。
治療をどのように進めていくか提案を聞いたときに矯正のことを
聞きました。
この年齢で矯正という考えは一切なかったのですがお話を聞いて興味を持ち、挑戦してみようと思いました。
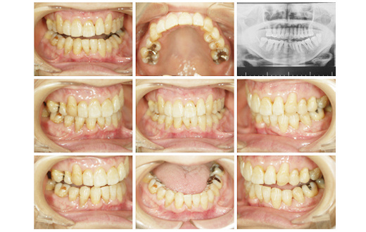
八重歯や内側に入っていた糸切り歯、歯が重なっていたり、向きが傾いていたりしたので、動くのが痛くて食事中は、はさみを常備して細かく刻みながら食べていました。
当初は痛みから涙が出てしまうこともありましたが、綺麗な歯並びになってとても嬉しいです。
職場の利用者さんが、歯が綺麗になったと気付いて声をかけてくれたり、仕事柄人前に立つことも多く、以前は口元を隠していることが多かったけれど、自信を持って話したり、歌ったり出来るようになりました。
矯正を勧めてくれて、綺麗になおして頂いてすごく感謝しています。
症例1
女性 61才 1年5カ月




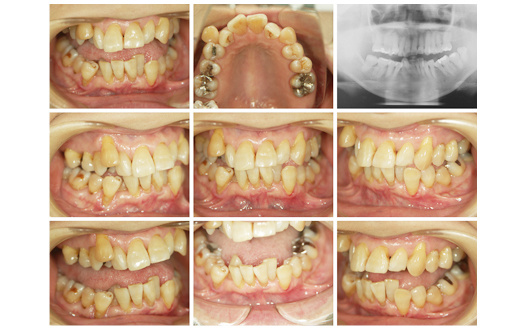
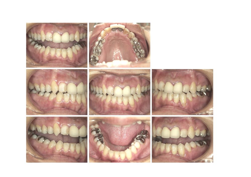
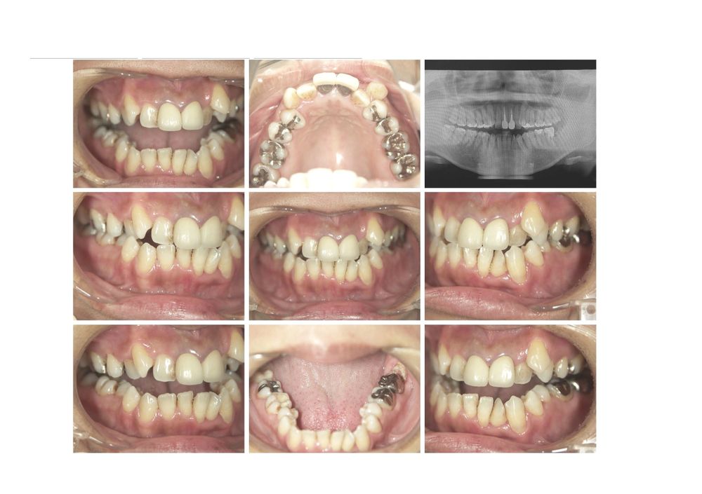
症例 2
女性 46才 1年1カ月






■診療時間
月曜・火曜・金曜
午前 10:00~14:00
午後 16:00~20:00
水曜
午前 9:30~14:00
土曜
午前 9:00~13:00
午後 14:00~17:00