当医院では定期検診を推奨しています。
小さなお子様から大人まで定期的にお口のケアをして管理しています。
年齢を重ねるにつれて歯周病のリスクは高くなっていきます。
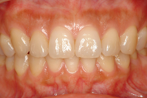
| 軽度 | |
|---|---|
|
歯垢や歯石が付着し、歯肉は赤く腫れます。 |
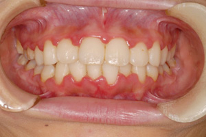
| 中度 | |
|---|---|
|
正常な骨の位置より |
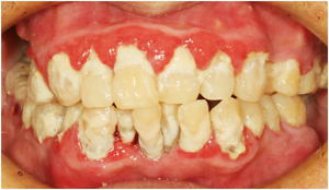
| 重度 | |
|---|---|
|
骨吸収 1/2 以上 |
■診療時間
月曜・火曜・金曜
午前 10:00~14:00
午後 16:00~20:00
水曜
午前 9:30~14:00
土曜
午前 9:00~13:00
午後 14:00~17:00
