お子様の定期検診
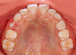
| 乳歯 正常 | |
|---|---|
|
お子様の生えたばかりの乳歯や永久歯はもろく虫歯になりやすいです。 |
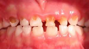
| 前歯 虫歯 | |
|---|---|
|
0~3歳はまず歯医者に慣れてもらうところから始めます。 |
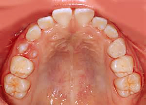
| 奥歯 虫歯 | |
|---|---|
|
自我が出る頃からイヤイヤが始まるので、ここからしっかり管理していかないと前歯や奥歯が次々と虫歯になってしまいます。 |
■診療時間
月曜・火曜・金曜
午前 10:00~14:00
午後 16:00~20:00
水曜
午前 9:30~14:00
土曜
午前 9:00~13:00
午後 14:00~17:00
